2023年5月,37岁的梁女士与丈夫首次迈进生殖中心的大门,此时的她还有点迷茫的。自从与丈夫在2012年剖宫产生下一个男宝,此后一直避孕,但是,2年前开始备孕二胎,肚皮却一直没有动静。眼看备孕已久、年龄渐大,夫妻俩极为着急,经朋友介绍慕名来到广东省妇幼保健院生殖中心就诊。经过医生评估,梁女士输卵管有炎症改变、卵巢储备功能减退,于是为这对夫妻制定了试管婴儿的助孕方案。在顺利完成前期检查评估后,梁女士6月底开始促排卵治疗,7月初进行了胚胎移植手术。梁女士是幸运的,也是不幸的。幸运的是一移一中,梁女士怀孕了;不幸的是,因为她胚胎少,年龄大,强烈要求移植2枚卵裂期胚胎,,超声检查时发现一个孕囊在宫腔内正常着床,另一个调皮的孕囊着床于上次剖腹产遗留的疤痕处。这让她非常焦虑:孕囊在疤痕处还能继续生长吗?会不会有什么风险?宫腔内的胚胎还能保得住吗?……
子宫瘢痕处妊娠是指受精卵着床于前次剖腹产子宫切口疤痕处的一种异位妊娠。瘢痕妊娠本身就是高危妊娠,是剖宫产后的远期并发症,发生率为 0. 045% 。由于子宫瘢痕处子宫肌层菲薄且收缩弹性较差,随着孕囊不停地增大可造成子宫瘢痕处破裂,引起大出血,严重时甚至威胁生命。特别是有胎心的瘢痕妊娠,如果继续怀孕,母亲可能会出现严重出血、子宫早期破裂、子宫切除和严重胎盘植入等并发症。因此,为了保障母亲的安全,一旦确诊必须尽早终止妊娠。
不同于单纯的子宫瘢痕妊娠,梁女士还有一枚胚胎着床在正常宫腔内,也就是瘢痕妊娠合并宫内妊娠(自然妊娠时,发生概率更低,约1/30 000),而治疗单纯瘢痕妊娠的方法:清宫手术、子宫动脉栓塞术、局部注射甲氨蝶吟或氯化钾、腹腔镜病灶清除后局部修补术等无法允许宫内胎儿继续发育,会对宫内胎儿有一定的危害。一面是随时可能出现的危机生命的子宫破裂出血,一面是已经是已经迈入高龄的梁女士夫妇迫切要求保留宫内胎儿的期望。如何选择有效的方法终止瘢痕妊娠并且保留宫内胎儿,一道难题摆在了生殖专家面前。
幸运的是,经过细致的超声评估梁女士子宫瘢痕处的肌层较厚、孕囊仅部分着床于此处,属于子宫瘢痕妊娠Ⅰ型,且宫内胎儿发育良好。在与梁女士夫妇充分沟通手术相关风险和并发症后,夫妻要求保留宫内胎儿意愿极为强烈。生殖中心医护团队为梁女士制定详细的手术方案,在做好备血、抢救准备后,于 8月9日在梁女士孕7周时,由经验丰富的刘风华主任医师为其进行阴道超声引导下胚胎减灭术,成功减灭子宫瘢痕处妊娠。术后住院安胎、观察,梁女士无腹痛、阴道流血的情况。术后一周复查超声,宫内胎儿发育良好。

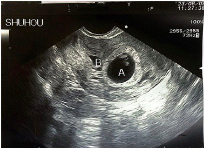
手术前超声可见宫腔内正常妊娠的孕囊A和子宫瘢痕处妊娠孕囊B

手术后超声可见宫腔内正常妊娠的孕囊A和空虚的孕囊B
后续梁女士定期回生殖中心复诊,看到超声结果提示“宫内单活胎”的报告,夫妻俩脸上露出放心的笑容。并感叹道,这一切都是得益于刘风华主任医师精湛的手术技术,和专业的助孕、安胎团队,终于让她转危为安,实现了保留宫内胎儿继续妊娠的愿望。
最后,提醒曾有过剖宫产或者子宫手术史的患者朋友们,一定要认真考虑医生的建议,再决定怀孕的时机,并且慎重考虑移植胚胎数目。一经诊断为瘢痕妊娠或瘢痕妊娠合并宫内妊娠,务必到有诊疗经验的医院就诊,充分评估,权衡利弊,选择适当的诊疗方案,减少产科并发症的发生,保证母婴安全。